Virtual Doctors Work
This month we return to a familiar district, Chongwe in the Lusaka province. A beautiful area with the Zambezi marking its eastern and southern boundaries. In the south of the province we find the lower Zambezi national park, an unspoilt area of wilderness brimming with wildlife. However, in Chongwe district agriculture is the main industry, producing foods such as peas, beans and maize.
Last year, Chongwe District was twinned with Mianyang City in China. Mianyang City is China’s hub for science and technology. It is hoped that this relationship will bring enormous benefits to the ICT sector of Zambia and consolidate development in the technology industry (according to the Zambia Daily mail).
Chongwe district health facilities have grown too. It now has two urban health clinics (UHC). These are similar to the rural health clinics (RHC), only in a more metropolitan area serving a larger catchment, typically between 30,000 to 50,000 people.
The case I want to share with you was seen in January at Chongwe UHC. The Clinical Officers in the Chongwe district clinics are the Virtual Doctors’ highest users, sending us many interesting and challenging cases.

Chongwe Urban Health Facility

Chongwe market
Virtual Doctors now support 11 clinics (both rural and urban) and the district general hospital in Chongwe district.
During a busy January clinic the Clinical Officer on duty saw a 12 year old boy. He had a wound on his right knee. It had been there for over 1 year, had appeared spontaneously with no trauma (injury) at the site. His only complaint was that his leg was painful on walking. He had no fever. The young man had been seen before and been treated with antibiotics on 5 separate occasions but the wound did not improve and now seemed to be getting bigger.On examining the leg the Clinical Officer reported that there was a swelling below the right knee with a sinus (a blind-ended discharging passage, in this case extending from the skin to the abscess cavity underneath) which was discharging a yellowy-white fluid when the area was pressed. The Clinical Officer wanted to know what to do next as treatment so far had failed.

The affected leg

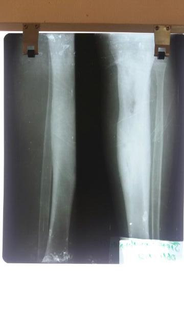
X-ray of both lower legs
The Volunteer Doctor thought that this was a serious case of osteomyelitis (infection of the bone) which had not been treated despite the multiple courses of oral antibiotics. In osteomyelitis, oral antibiotics are not able to penetrate deeply enough to the bone to treat the infection there. The wound may have started as an ulcer on the skin but the infection had certainly spread more deeply. The Virtual Doctor was also concerned as to why this young man was having recurrent serious infections. Was there some underlying reason for this?
The Virtual Doctor referred the case to the Paediatric Surgeon Volunteer on the team for advice on further treatment .The radiology Volunteer was also asked to review the X-ray. Whist waiting for further opinions the Virtual Doctor suggested the young man was commenced on intravenous antibiotics and had some blood tests.
The next day the radiology Virtual Doctor confirmed that the x-ray showed long-standing osteomyelitis of the right tibia (the larger bone in the lower leg). This is the area on the x-ray which looks very white and wider than the same bone on the other leg. Above this is a blacker or lucent area which might be an abscess. The radiologist also remarked that it can be difficult to tell the difference between a serious and longstanding infection and a malignant process (cancer).
The paediatric surgeon agreed that this looked like a long standing (chronic) osteomyelitis and would need surgery to remove dead tissue and a long, more than 6 week, period of intravenous antibiotics. Ideally he needed more imaging to be sure about the underlying problem. He needed an orthopaedic surgeon in Zambia which of course would mean travelling, possibly to the capital to a hospital with the right facilities.
The worry was that the infection was so bad that the young man would end up losing the limb as the bone would die.
Many people were mobilised to try to find someone in Zambia who could treat him. Finally he was sent to Levi Mwanawasa Hospital in Lusaka (the capital of Lusaka province) and we await news.
This case shows the diversity and knowledge of our Volunteer Doctors, and that we work as a virtual team, offering expert advice and trying hard to solve problems.
What is Osteomyelitis?
Osteomyelitis is inflammation of the bone usually caused by bacterial infection. In children it is usually a haematogenous osteomyelitis (infection spread through the blood stream). As children have actively growing bones with rich blood supplies, infection can easily start between the growing plate and the rest of the bone. Infection can also secondarily be caused by penetrating trauma, surgery or infection in a site near the affected bone. This usually develops over a couple of weeks. Chronic osteomyelitis, however, is an infection which has gone on for a long time affecting the bone and its marrow. Chronic osteomyelitis often presents with bone pain and an active sinus discharging pus, as in our young patient.
It commonly affects the long bones, so this would be the femur, tibia (of the leg) and humerus (of the arm).
Who gets Osteomyelitis?
Osteomyelitis is most common in children, the average age being around 7 years. It is more common in males. The prevalence is not accurately known but thought to be between 5 and 25%. There is an increased risk of having osteomyelitis if you have an underlying problem eg HIV, diabetes mellitus, sickle cell or other conditions which suppress the immune system. It is also more common in resource poor areas.
Which organisms cause it?
A recent study in Lusaka teaching hospital looked in to the most common bacteria causing osteomyelitis. It found that Staphlococcus aureus (35%) was the commonest, which is also the same in the UK. Interestingly the organism were highly sensitive to the antibiotics ciprofloxacin and imipenem. This information is very useful to the local doctors and clinical officers so the right antibiotics can be used.
Other organisms included Streptococcus pneumonia, E.coli.
What is the treatment and what are the complications?
After diagnosis which involves blood tests looking for signs of infection, imaging- after an X-ray this will be a bone scan to look in more detail at the bone; sometimes a needle aspiration of the bone is required to obtain a sample of pus from the bone to identify the organism causing the infection.
Treatment focuses on stopping the infection and preserving as much function as possible. Intravenous antibiotics are given to treat the infection. A prolonged cause of 6 weeks is typical. Sometimes surgery is also required.
As in our patient, sometimes the osteomyelitis is so severe that a cavity develops in the bone containing pus. This needs surgery to drain it and allow the bone to heal. Chronic infections are very serious and can be life or limb threatening. If the bone has died due to the infection then an amputation will be needed .
Disclaimer: This article is for information only and shouldn’t be used for diagnosis or treatment of medical conditions. If you have any concerns about your health consult a doctor or other health professional.